专业股票配资资讯网官网 眼睛也中风!83岁老人、47岁外卖员中招!眼底呈现“樱桃红斑”,可致失明

清晨6点多,大多数人还在睡梦中,上海市第一人民医院(南部)眼科急诊迎来了一位焦急的83岁的患者赵大爷。他清晨起床后突然发现右眼一片漆黑,因左眼永久失明,此时内心充满了恐惧,立即在家人陪伴下赶往市一医院(南部)就诊。经眼科检查发现,患者视力已降至光感,眼底出现典型的视网膜内层水肿,经验丰富的眼科值班医生立即诊断:赵大爷的右眼视网膜中央动脉阻塞(CRAO),俗称“眼中风”!
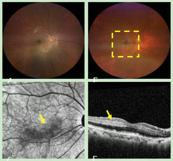
眼睛还会中风?赵大爷懵了,医生解释,这种名叫视网膜中央动脉阻塞的疾病,是视网膜动脉阻塞(RAO)的一种,指视网膜中央动脉部分或全部堵塞,会患者突发失明或视力骤降。眼底改变呈现“樱桃红斑”征象,是该病最具诊断价值的体征。RAO与脑中风有共同的病理基础,抢救窗口期极短,必须争分夺秒,一旦缺血超过90分钟视网膜神经细胞即开始不可逆死亡,超过6小时后抢救希望渺茫,导致永久性失明。
面对这一紧急情况,眼科值班医生立即启动“视网膜中央动脉阻塞应急预案”,开放绿色通道,与神经内科医师联合会诊,详细评估了赵大爷的神经系统状况、心脑血管危险因素(高血压、房颤、动脉硬化等),并完善了必要的检查(头颅影像学),排除了急性脑卒中等严重情况。

入院1小时,神经内科医师成功为赵大爷实施“静脉溶栓术”。得益于眼科与神经内科的无缝衔接、紧密协作,以及对“黄金救治时间窗”的精准把握,经过一夜的积极治疗和严密观察,第二天复查时,赵大爷原本仅有光感的右眼视力已显著提升至0.25!
当然,视网膜动脉栓塞并非老年人的“专利”,在中青年当中也会发生。不久前,一名47岁的外卖员秦某因左眼突发视力下降1小时就诊于市一医院(南部),视力仅光感,眼科医生迅速检查,确诊为左眼视网膜动脉阻塞,立即送入抢救室实施静脉溶栓。第二天复查时,视力显著提升。眼科快速诊断与神经内科高效响应联动,为患者争取了宝贵的治疗时间。
市一眼科提醒:像秦某这样的中年群体,乃至更年轻的人群,若存在高血压、糖尿病等基础疾病,或有吸烟、熬夜、精神压力大等不良生活习惯,都可能增加患病风险。这一疾病发病急、致盲率高,务必引起全社会的高度重视,一旦出现突发视力下降等异常症状,需立即就医,切勿延误病情。
视网膜中央动脉阻塞是眼科最危急的急症之一,致盲率极高。其典型症状是突发、无痛性的单眼视力急剧下降甚至丧失。其救治的关键在于“快”!发病后4-6小时(甚至更短)是抢救视力的黄金时间窗,越早治疗,恢复视力的希望越大。
高血压、糖尿病、高血脂等基础疾病是RAO发生的高危因素,中老年人谨记重视基础疾病的治疗和监测,戒烟戒酒,控制情绪,避免过度劳累和剧烈运动等,预防此类病变的发生。
目前专业股票配资资讯网官网,市一南部眼科中心已形成成熟的RAO急症救治体系,24小时待命的绿色通道、经验丰富的多学科团队、不断迭代的技术方案,为患者的 “光明”保驾护航。
正中优配提示:文章来自网络,不代表本站观点。




